がん検診が利用しやすくなりました

 自治体が公民館などで行っているがん検診ですが、2010年度より高野病院でも受診することができるようになりました。これにより、これまで都合がつかなくて受診できなかった方も、ご都合のよい日に病院にて受診することができるようになりました。がんの早期発見には、特定検診などの簡単な健康診断では不十分なこともありますので、受診しやすくなったがん検診をぜひご利用ください。

※ 鯖江市以外の県内他の市町村にお住まいの方でも、高野病院で受診できます。


高野病院で利用できるがん検診の種類

2010年8月現在、高野病院では下記のがん検診の委託を受けています。

○ 肺がん

○ 胃がん

○ 大腸がん

※ 体制が整い次第、乳がん検診についても委託を受ける予定です


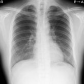
肺がん検診の受け方

 市町村から送られてくる「受診券」と「自己負担金」をお持ちになって来院ください。簡単な問診と、胸部X線写真にて行います。問診により喫煙歴の基準を超える方には喀痰検査(かくたんけんさ)も実施いたします。

※ 喀痰検査は痰を採取いただく検査で、採取容器に付属の封筒にて郵送していただくことになります。

胃がん検診の受け方

 市町村から送られてくる「受診券」と「自己負担金」をお持ちになって来院ください。簡単な問診と、胃バリウム検査にて行います(胃カメラ検査では実施できない決まりになっています)。

※ 円滑に受診いただくために事前予約されることをお勧めいたします。
※ 検査を受けられる前日夜9時以降、検査が終了するまで絶飲絶食です。
※ バリウムによりアレルギー反応がでることがあります。不安なかたはご相談ください。

大腸がん検診の受け方

 市町村から送られてくる「受診券」と「自己負担金」をお持ちになって来院ください。便採取容器と問診票をお渡しいたしますので、検体を回収できましたら、記入した問診票と一緒に当院窓口へお渡しください。


がん検診結果のお知らせについて

 後日、(財)福井県健康管理協会より結果通知書が送られてきます。

※ 「肺がん」「胃がん」の各検診については検査終了後に結果についてご説明することもできます。